来源:武汉环亚中医白癜风医院
环亚将每位白癜风患者视作独立个体,推行分型多学科诊疗模式,实行全方位治疗,并将患者的整个病史、生活方式和其他健康问题纳入考虑,推行临床规范化诊疗,为患者提供健康保障。
全国统一咨询预约热线:13437147156
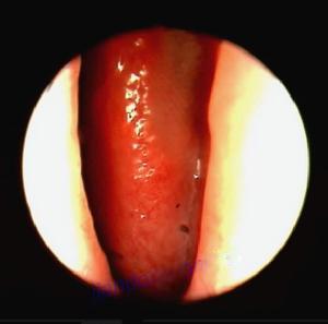
【内容导读】贵阳作为鼻窦炎的高发城市之一,鼻窦炎的治疗形式不容乐观,其原因就是患者对鼻窦炎治疗方法陌生造成。其主要症状为鼻塞、浓涕、头痛、嗅觉失灵等。贵州省第二人民医院对鼻窦炎的治疗技术已经处于省内先进水平。![]()


鼻窦炎案例图
贵州省第二人民医院引进“多窦一清”技术,据医生介绍,鼻窦炎如果长期得不到有效的治疗,会对人的正常生活带来许多不便,所以有鼻窦炎的患者应该提高警惕,应做到早诊断、早治疗。
多窦一清技术 快速治疗鼻窦炎
在鼻内镜的直视下手术,保留鼻腔鼻窦的生理功能,扫净病灶,改善和重建鼻及鼻窦的通气引流,恢复粘膜(纤毛及腺体)的形态和生理功能,达到治愈 目的。手术时,先以CT片和鼻内窥镜进行精确定位左右4对:称额窦、上颌窦、筛窦和蝶窦炎症组织和窦口位置,在麻醉的帮助下,借助美国美敦力鼻窦电动刀及美国杰西低温等离子消融系统下进行精确的开口引流、清除周围4对窦腔炎症,快速治疗鼻窦炎。![]()

鼻窦炎治疗手术中
“多窦一清”技术能一次性精确“扫净”四对鼻窦炎症,避免“漏诊盲区”、迁延其它鼻窦复发;同时结合功能性鼻腔术后修复和绿色康复技术,轻松清除额窦、上颌窦、筛窦和蝶窦等合并症,迅速恢复鼻部功能,终止疾病危害,治疗恢复期比同等手术缩短,被称为“多窦一清”高端技术。患者手术 后普遍反映,“扫净”疗效理想,好的快,多窦一清鼻窦手术“多窦一清”技术常用于额窦、上颌窦、筛窦和蝶窦炎症同时进行清除。它为鼻窦开 “窗”术引流做到不漏诊,出血很少、痛苦很轻、恢复快,患者认可度较高。
【疗法简介】“多窦一清”技术,一劳永逸,治愈率高
贵州省第二人民医院采用“多窦一清”技术,是鼻咽部位集诊断与治疗的一项全新微创技术,精确的去除病变组织和骨头,使鼻窦开口 扩大,恢复鼻窦的正常生理功能,一次简单的手术即可快速解决鼻炎、鼻窦炎、鼻息肉等多个问题。鼻内窥镜鼻窦手术具有传统鼻窦炎手术无法比拟的微创性。手术安全、微创、痛苦小、不影响生理功能。![]()
【五大优势】精准、微创、痛苦小、安全
1、治疗精密:自带的冷光源的亮度相当于无影灯,清晰的视野使手术达到更精细的效果,小孔可将病变组织放大数倍,并将同步拍摄到的影象传送到相应的的电脑屏幕上,患者病变部位可被医生一览无余,彻底告别过去盲目凭手感和经验操作的"盲人摸象"时代。
2、小范围手术:强调窦口鼻窦复合体阻塞对慢性鼻窦炎发病的重要性,即“小范围手术解决大范围病变”。
3、微创痛苦小:鼻内窥镜下通常使用美国杰西低温等离子消融系统治疗,这是一种利用低温来进行组织消融的一种高科技的治疗手段,与传统激光微波治疗高达150℃的温度相比,极大的减轻了组织的损伤和病人的痛苦。
4、损伤小:强调手术中保留鼻窦黏膜和保护黏液纤毛清除功能的重要性,认为手术应立足于以恢复鼻窦通气引流为目的。
5、安全快捷:以高智能探头自动识别病变组织,避免过多损伤,将副作用降到最低,同时,一台手术只需要的时间短,有利于患者术后的恢复。
【公立三级医院】费用价格透明 医保定点 降低个人医疗消费 患者放心就诊
贵州省第二人民医院作为公立三级医院,在治疗费用的收取上,严格按照国家标准执行,详细确室适时治疗方案,避免浪费不必要的治疗费用产生,并在收费处有明确标示,治疗费用合理、公开、透明,患者可放心就诊。![]()

【预约医生】 【医生坐诊查询】 【病情在线分析】【治疗费用 咨询入口】
作为医保定点医院,在治好病的前提下,能够节省治疗费用是患者共同的愿望,贵州省第二人民医院是贵州省首批定点医保定点单位,医保政策最为齐全的公立医院。医保制度的完善,真正营造平价医疗医院,造福百姓,实质性地帮助百姓节省医疗开支。
温馨提醒:我院收到您的上述信息后(信息详尽),会及时进行审核,并会发出医生号及详细来院路线到您的手机,请注意查收。
地址:武汉市硚口区解放大道479号